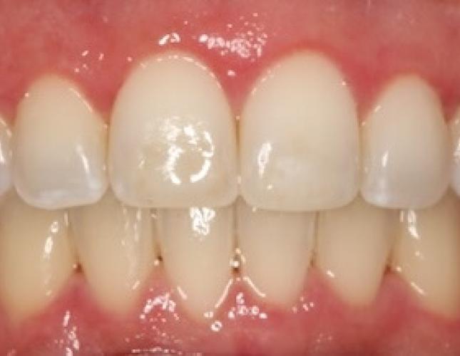
Crown lengthening

Anonymous
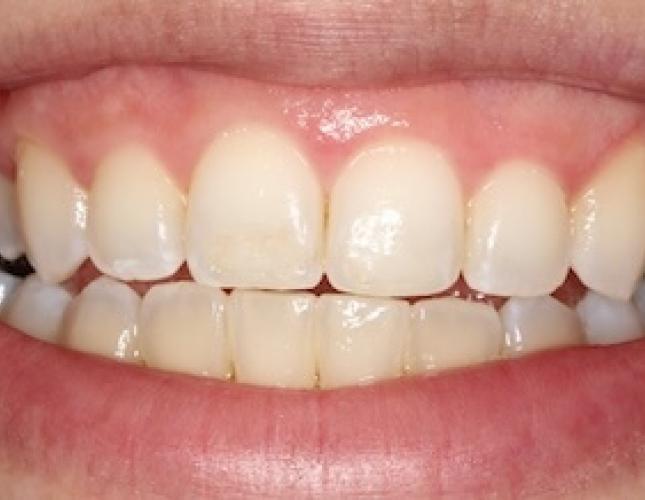
Crown lengthening after
Crown lengthening after